Заказать звонок Меню

Протезирование зубов

Современное протезирование зубов является безболезненным и абсолютно безопасным, для него используются специальные материалы, по цвету и текстуре не отличающимся от природной эмали. В результате мы получаете превосходную улыбку.

Современное оборудование

Запишитесь на консультацию
Обязательное поле
Обязательное поле Введите правильные данные
Здоровье зубов
Красота зубов
Кандидат мед.наук
Евгений Александрович
+7 (918) 146-11-31 Заказать звонок Задать вопрос

Примеры наших работ

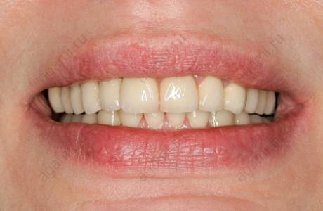
До лечения

Пациент обратился с жалобами на тотальное стирание зубов, неудовлетворенность цветом и формой фронтальной группы зубов. Было решено изготовить коронки на жевательную группу зубов, а также керамические виниры E-max на фронтальные.

После лечения

Пациент доволен результатом - красивой белоснежной улыбкой

До лечения

Пациентка обратилась с жалобами на отсутствие жевательных зубов на нижней челюсти, неудовлетворительный внешний вид ранее изготовленных конструкции.

При остмотре также выявлено занижение высоты нижнего отдела лица и полное отсутствие прикуса, при том, что у пациентки изначально был патологический прикус с глубоким резцовым перекрытием.

Принято решение провести тотальную реабилитацию прикуса, восстановление эстетики и высоты нижнего отдела лица.

После лечения

На нижней челюсти установлены имланты. За время их приживления фронтальные зубы перелечены, восстановлены вкладками, на временных коронках зафиксирована нужная высота.

На все зубы были установлены коронки на основе диоксида циркония

24 эксперта лечат зубы

Ковалев Сергей Александрович
Ковалев Сергей Александрович

Врач - стоматолог - имплантолог, стоматолог - ортопед, стоматолог - хирург

Работает с 2004 года

40 Наград и сертификатов

Обязательное поле
Обязательное поле Введите правильные данные
Мельник Евгений Александрович
Мельник Евгений Александрович

Врач - стоматолог - имплантолог, стоматолог - хирург, кандидат мед.наук

Работает с 2000 года

31 Наград и сертификатов

Обязательное поле
Обязательное поле Введите правильные данные
Обухова Татьяна Викторовна
Обухова Татьяна Викторовна

Врач стоматолог-хирург-пародонтолог

Работает с 1996 года

53 Наград и сертификатов

Обязательное поле
Обязательное поле Введите правильные данные

Мнение наших клиентов

  • Работа просто на 5-ку во-о-от с таким +++

    Обратилась к Сергею Александровичу за ортопедическим лечением. Очень классный доктор, профессионал и просто хороший, располагающий к себе человек. Т.к. брекет-лечение мне было противопоказано (ввиду индивидуальных особенностей), а неправильное положение передних зубов не давало мне спокойно улыбаться и доставляло дискомфорт при общении, я приняла решение исправить очень видимый дефект при помощи виниров и коронок на передний, верхний ряд зубов. Сергей Александрович вместе с техником Станиславом безупречно выполнили работу, работа просто на 5-ку во-о-от с таким +++! Вы классные профессионалы, ребята! Теперь я не прячу улыбку, за что огромное спасибо!

  • Без боли и осложнений!

    Профессионализм врача, его помощницы! Без боли, осложнений! Приемлемая цена. Удаляла два зуба: один мудрости и один полуразрушенный. Оба корня в гайморовой пазухе. Зуб пришлось распилить и удалять частями. Евгений Александрович - это лучший доктор, не встречала таких профессионалов. Абсолютно уверен в своих действиях. Удалил без труда. Без боли. Огромное ему спасибо. Теперь только к нему! Рада, что есть такие люди. :)

  • Это огромное счастье!

    Высочайший профессионализм, современные методы лечения. У меня была проблема с верхней и нижней челюстями, мосты цеплять не за что, задние зубы выпали. Мне предложили схему лечения, сделали операцию синус лифтинг, провели полную имплантацию, теперь, я живу полноценной жизнью и улыбаюсь белоснежный улыбкой, ем яблоки, огурцы, забыла про корегу, это непередаваемое ощущение, как будто заново родилась. Это огромное счастье, что мне удалось попасть к такому умелому, талантливому и компетентному стоматологу, хирургу-имплантологу, как Ковалев Сергей Александрович.

  • Профессионалы своего дела

    Выбрала доктора по совету врача. Мне проводили установку коронки на имплант. Коронка подошла по цвету и удобству с первого раза. Доктор - внимательный, профессионал своего дела. Врача и клинику "наЗУБок" советую.

  • Первый раз в жизни не почувствовал боли

    Знакомые мне посоветовали Евгения Александровича Мельника, и я очень рад этому. Потому что первый раз в жизни не почувствовал боли в кабинете стоматолога, хотя мне удалили два зуба мудрости подряд, и 30 минут пролетели как 2 минуты. Всегда боялся походов к стоматологу, но Евгений Александрович сломал этот комплекс. :)

  • Доктор справился с удалением на миллион процентов!

    Было очень сложное удаление зуба мудрости. По совету друзей обратилась к Мельникову Евгению Александровичу. Несмотря на то, что у доктора плотная запись, меня записали на следующий день. Несколько раз девочки напомнили про запись, что очень удобно. Приехала в назначенное время в клинику, меня приняли девочки на ресепшене. Так как я очень сильно нервничала, предложили выпить успокоительное и воды. Хотелось бы еще заметить, что клиника расположена в очень удачном месте, что немаловажно. Доктор принял в назначенное время, осмотрел и направил на рентген! Зуб оказался очень проблемный, но доктор справился с удалением на миллион процентов!

  • Рекомендую Сергея Александровича

    Визит прошел положительно, мне понравился и врач, и клиника, в целом. Я обращалась к специалисту на консультацию по поводу протезирования зубов. У доктора Ковалева Сергея Александровича я была впервые. При выборе ориентировалась на отзывы других пациентов. Сам прием немного затянулся, поскольку я делала еще 3D томографию. В целом, доктор уделил мне времени даже более, чем достаточно. Данного специалиста я бы порекомендовала другим пациентам.

  • Большое спасибо!

    Полностью без боли. Хорошо зашил лунку, не вызывает дискомфорта. Хороший прайс. Обратился к Евгению Александровичу, так как зуб слева на верхней челюсти начал разрушаться в связи с тем, что выпала пломба. Стоматолог-терапевт из поликлиники, где я обычно лечил кариес, отправил на КТ этого зуба, лечить его не взялся. Расшифровка снимков КТ показала, что корни зуба находятся на границе гайморовой пазухи и есть вероятность ее перфорации. Так как живу в районе сельхоза, спросил у лечащего врача, где есть "толковый" врач рядом с нами. Отправил к Евгению Александровичу. Записался на первичный прием, в назначенное время пришел Евгений Александрович, меня осмотрел, посмотрел КТ с коллегой. Было решено удалять, обсудили все детали. Удаление прошло без перфорации гайморовой пазухи, чему я очень рад. Большое спасибо!

  • Аккуратно и не больно!

    Обращалась не один раз, советовала и приводила знакомых. Такого доктора не грех рекомендовать и не стыдно! Последний раз, когда я сама обратилась, был далеко нелёгкий. Под коронкой разломился корень зуба. Евгений Александрович всё сделал аккуратно и не больно!

  • Огромная благодарность!

    Хочу выразить огромную благодарность клинике «НаЗубок», в частности Сергею Александровичу! Занимались перепротезированием верхней и нижней челюсти, с 2020 г. проделали колоссальную работу, и сейчас, в конце 2021 г., я хожу с новыми зубами, за что благодарю своего доктора! Бережное и тщательное лечение, и кропотливый труд, подарили мне новую улыбку в преддверии праздников! Спасибо большое, Сергей Александрович!

  • Уверенность и профессионализм

    Во время удаления «зуба мудрости» были только мысли о благодарности, что я сижу в кресле у Евгения Александровича. Сложный случай, преграда в виде соседнего зуба с хрупкой пломбой - все это стало бы помехой, возможно. Только не у этого доктора! Руки уверенно подбирали инструменты, и мой зуб по частям все-таки появился на свет :). Процедура длилась 40 минут, было нелегко и немного страшно. Уверенность и профессионализм Евгения Александровича спасли меня. Настоящий профессионал. С большой благодарностью.

  • Вежливость, внимательность.

    В ноябре удаляла у Евгения Александровича 3 зуба мудрости. Все зубы удалил легко и без осложнений. Во время удаления шутил и отвлекал, комментировал все свои действия. По итогу операции дал рекомендации.

  • Идеальная имплантация!

    Долго решалась на имплантацию зуба! Обратилась к Евгению Александровичу на прием! Несмотря на то, что у меня были ряд особенностей, он провел мне имплантацию идеально!

  • Высококлассный специалист!

    Обратилась к Сергею Александровичу после неудачного удаления зуба в государственной поликлинике. Избавил от изнуряющей недельной боли за один прием. Высококлассный специалист! Все объяснил, успокоил, ободрил, а самое главное - вылечил!

  • Большое спасибо!

    Внимательное и доброе отношение, удобное оборудование. Устанавливал виниры, процедура заняла 3 посещения - это просто супер! Моя улыбка стала как у людей, которые выступаю в телевизоре: ровные, белые, красивые зубы. Большое спасибо! Остался очень доволен, родным и друзьям тоже понравилась моя новая улыбка.

  • Настоящий профессионал своего дела

    Обслуживание, отношение к пациенту, качество. Выражаю благодарность Ковалеву Сергею Александровичу за качественную установку трёх имплантов на верхней челюсти. Цвет и форма новых зубов подобрана идеально. Никаких нареканий по работе нет, всё просто идеально. Настоящий профессионал своего дела, тактичный и деликатный. Спасибо ему огромное и успехов в работе!

  • Очень быстро помогли

    На работе срочное совещание перед огромной аудиторией слушателей, и как назло, за неделю до этого сломались коронки. Ситуацию срочно надо было спасать, невозможно представить себе, как можно выйти к такому количеству людей со страшными дырами во рту, ещё и картавя. На мою удачу, друг посоветовал обратиться в клинику "НаЗУБок" к Ковалеву Сергею Александровичу. Выражаю огромную благодарность этому доктору, т. к. очень быстро помог в сложившейся ситуации, поставив виниры. Ещё хочу отметить профессиональные качества этого доктора и персонала клиники, внимательные люди, хорошее отношение. Теперь всей семьёй лечимся только у Сергея Александровича!

  • Благодарность врачу стоматологу - хирургу Мельник Евгению Александровичу.

    Выражаю огромную благодарность врачу стоматологу -хирургу Мельник Евгению Александровичу.Удалял сложный восьмой зуб мудрости дочке . Операция прошла успешно, быстро и самое главное без последствий. Спасибо вашему профессионализму, опыту . Вы Врач от Бога!.

  • Благодарю!!

    Хочу выразить огромную благодарность Евгений Александрович -Профессионал высочайшего уровня!! Удалил мне 2 зуба и огромную кисту под ними. Операция прошла без боли, заживление было очень быстрым. Думала, будет намного тяжелее. Евгений Александрович очень внимательный врач, всё понятно объясняет. Теперь готовимся к имплантации. Желаю Вашей клинике процветания, всего самого лучшего!!!!!

  • Спасибо Бакману Михаилу!

    Еще раз хочу сказать Михаилу:" Вы крутой! " и конечно же просто человеческое спасибо за ваш профессионализм, выдержку и понимание! Девочки,которые были рядом, к сожалению не знаю их имен, вы навсегда останетесь в моей памяти, напоили успокоительным, предложили руку помощи..... Не забуду, спасибо! Это было самое быстрое и безболезненное удаление зуба мудрости в моей жизни .

  • Спасибо за шикарную улыбку

    Своей шикарной улыбке я благодарна моему лечащему врачу Евгению Александровичу. У меня был очень сильный дистальный прикус , проходила с брикетами три года. Мне очень повезло, лечиться у врача знающего своё дело с золотыми руками. Он не только хороший врач, но и хороший советчик очень доброжелательный и позитивный и эти три года пролетели очень быстро для меня. Одно удовольствие лечиться у врача ,которому не все ровно на пациента и он сделает все чтобы пациент остался довольным. Спасибо ещё раз Вам и вашей клинике за таких потрясающих врачей!

  • Спасибо что без боли

    Замечательные, доброжелательные врачи. Высокий уровень обслуживания. И самое главное, никаких болезненных ощущений впоследствии. А зуб был сложный, чистили старый канал. Большое спасибо.

  • Спасибо Сергею Александровичу

    По долгу службы приходится много общаться с людьми - встречи, презентации, переговоры. Поэтому, когда у меня внезапно откололся кусочек зуба, для меня это стало большой проблемой, которую нужно было решить незамедлительно. Коллега посоветовал мне обратиться в стоматологию назубок. Мне посчастливилось попасть к замечательному специалисту Сергею Александровичу. Он поставил мне световую пломбу быстро, качественно и очень аккуратно. Выражаю огромную благодарность доктору и сотрудникам клиники!

  • Попробовал чистку Аир Флоу

    Как любитель экспериментов попробовал чистку Аир Флоу. Разница заметна: меньше дискомфорта, легкое очищение эмали даже в районе зубов мудрости, никакой гиперчувствительности впоследствии. Стоматология назубок радует меня не первый год, а внедрение новинок – радует особенно. Спасибо, что делаете нашу жизнь комфортнее, а зубы здоровее.

  • Спасибо огромное

    В двух местах мне отказали рвать проблемный корень у внезапно разрушившегося зуба. Во втором ещё напугали, что может понадобиться челюстно-лицевая операция. С прошлого года боялась, но устала бояться и стала искать, где в стоматологии есть челюстно-лицевой хирург. Дело в том, что я панически боюсь стоматологов. А тут меня ещё запугали так, что больше полгода не могла решиться обратиться за помощью. В результате, впервые за свою историю посещения стоматологов, я не плакала. Спасибо огромное, всем сотрудникам, за вежливость, предупредительность и высокое качество работы. Теперь, если возникнет необходимость, я знаю, куда обращаться.

  • Благодарность детскому стоматологу

    Выражаем благодарность детскому стоматологу за внимательное отношение и чудесный подход в лечении маленьких пациентов. Дочь впервые была у стоматолога на лечении и совершенно не испугалась. Спасибо!!!!! Мы нашли своего доктора.))

    Также хотим отметить приветливость администратора, что конечно немаловажно для адаптивной обстановки пациентов. Спасибо!

  • Безболезненно и эффективно

    Безболезненно и очень интересно, именно так хочется сказать о новых методах диагностики. Для профилактики прошел осмотр под микроскопом, был выявлен кариес, который не заметен при визуальном осмотре. В этот же визит болезнь устранили, причем без малейшего дискомфорта. Получил не только эффективное лечение, но и новые впечатления. Спасибо!

  • В 62 с роскошной улыбкой

    В зрелом возрасте крепость зубов важна, но и на красоту следует обратить внимание. Благодаря стоматологии назубок я в свои 62 года могу похвастаться роскошной улыбкой.

Заказ обратного звонка
Отправьте номер телефона и доктор свяжется с Вами
Обязательное поле Введите правильные данные

Спасибо Ваша заявка принята.

В ближайшее время мы Вам перезвоним.

Записаться
Отправьте номер телефона и доктор свяжется с Вами
Обязательное поле Введите правильные данные

Спасибо Ваша заявка принята.

Врач посмотрит и Вы получите план лечения со сроками и стоимостью. Если устроит, сможете начать лечение.

Задать вопрос
Оставьте вопрос и доктор свяжется с Вами
Обязательное поле Введите правильные данные
Обязательное поле

Спасибо Ваша заявка принята.

Врач посмотрит и Вы получите план лечения со сроками и стоимостью. Если устроит, сможете начать лечение.

Заказ обратного звонка
Отправьте номер телефона и доктор свяжется с Вами
Обязательное поле Введите правильные данные

Спасибо Ваша заявка принята.

В ближайшее время мы Вам перезвоним.

Задать вопрос
Оставьте вопрос и доктор свяжется с Вами
Обязательное поле Введите правильные данные
Обязательное поле

Спасибо Ваша заявка принята.

Врач посмотрит и Вы получите план лечения со сроками и стоимостью. Если устроит, сможете начать лечение.

Спасибо Ваша заявка принята.

Врач посмотрит и вы получите план лечения со сроками и стоимостью. Если устроит, сможете сразу начать лечение.

  • Обязательное поле Введите правильные данные
    Обязательное поле Введите правильные данные
  • Обязательное поле Введите правильные данные
    Обязательное поле Введите правильные данные
    Обязательное поле Введите правильные данные
    Обязательное поле Введите правильные данные
    Обязательное поле Введите правильные данные
    Обязательное поле Введите правильные данные

    Я соглашаюсь с условиями обработки персональныйх данных

    Вы не приняли условия обработки персональныйх данных.

    Вы можете ознакомится с условиями обработки персональныйх данных, принять их и продолжить регистрацию на нашем сайте.

    Вы успешно зарегистрированны.

    На Ваш электронный адрес была выслана ссылка для подтверждения электронной почты.

    Пройдите по ссылке для окончания регистрации.

Восстановление пароля

Обязательное поле Введите правильные данные

На номер телефона UserPhone выслан новый пароль для входа в личный кабинет.