Заказать звонок Меню

Улыбки, которые мы преобразили

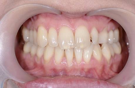
До лечения

Пациентка обратилась с жалобами на травму передних зубов, во время которой были удалены 3 передних зуба.

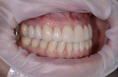
После лечения

По окончании срока приживления были установлены 4 металлокемарические коронки, которые идеально восстановили эстетику улыбки и вернули пациентке возможность улыбаться.

До лечения

Пациентка обратилась с жалобами на стирание зубов, вызванное бруксизмом (скрежетом зубов), отсутствие жевательных зубов, неудовлетворительную эстетику улыбки и невозможность пережевывания пищи.

План лечения был составлен на комплексную и тотальную реабилитацию верхнего и нижнего зубного ряда.

После лечения

В итоге пациентке установлено 24 коронки на основе оксида циркония с идеально восстановленной эстетикой и прикусом.

До лечения

Пациент обратился с жалобами на тотальное стирание зубов, неудовлетворенность цветом и формой фронтальной группы зубов. Было решено изготовить коронки на жевательную группу зубов, а также керамические виниры E-max на фронтальные.

После лечения

Пациент доволен результатом - красивой белоснежной улыбкой

До лечения

Пациентка обратилась к врачу с полным отсутствием зубов.

После лечения

Были изготовлены и зафиксированы металлокерамические зубные мостовидные протезы на обе челюсти на имплантах. Пациентка очень довольна и красиво улыбается.

До лечения

Пациентка обратилась по причине неудовлетворительной эстетики зубов верхней челюсти. Проведена диагностика зубов, прикуса и сделано восковое моделирование. Было принято решение для улучшения линии улыбки установить виниры на рефракторе с 15 по 25 зуб. Сняты слепки, а на время изготовления виниров, зубы были покрыты временными реставрациями.

После лечения

Осуществлена фиксация 10 виниров на верхней челюсти, после которой можно наблюдать тотальное изменение линии улыбки. Гармоничное сочетание формы, цвета, длины и наклона зубов. Пациентка довольна полученным результатом лечения.

До лечения

Пациент обратился с жалобами на боли от холодного в шестом зубе нижней челюсти справа. После обработки кариозной полости было выявлено разрушение зуба на 60%.

После лечения

Было принято решение изготовить керамическую вкладку. Для правильного приклеивания вкладки была проведена изоляция рабочего поля от слюны и десневой жидкости.

Заказ обратного звонка
Отправьте номер телефона и доктор свяжется с Вами
Обязательное поле Введите правильные данные

Спасибо Ваша заявка принята.

В ближайшее время мы Вам перезвоним.

Записаться
Отправьте номер телефона и доктор свяжется с Вами
Обязательное поле Введите правильные данные

Спасибо Ваша заявка принята.

Врач посмотрит и Вы получите план лечения со сроками и стоимостью. Если устроит, сможете начать лечение.

Задать вопрос
Оставьте вопрос и доктор свяжется с Вами
Обязательное поле Введите правильные данные
Обязательное поле

Спасибо Ваша заявка принята.

Врач посмотрит и Вы получите план лечения со сроками и стоимостью. Если устроит, сможете начать лечение.

Заказ обратного звонка
Отправьте номер телефона и доктор свяжется с Вами
Обязательное поле Введите правильные данные

Спасибо Ваша заявка принята.

В ближайшее время мы Вам перезвоним.

Задать вопрос
Оставьте вопрос и доктор свяжется с Вами
Обязательное поле Введите правильные данные
Обязательное поле

Спасибо Ваша заявка принята.

Врач посмотрит и Вы получите план лечения со сроками и стоимостью. Если устроит, сможете начать лечение.

Спасибо Ваша заявка принята.

Врач посмотрит и вы получите план лечения со сроками и стоимостью. Если устроит, сможете сразу начать лечение.

  • Обязательное поле Введите правильные данные
    Обязательное поле Введите правильные данные
  • Обязательное поле Введите правильные данные
    Обязательное поле Введите правильные данные
    Обязательное поле Введите правильные данные
    Обязательное поле Введите правильные данные
    Обязательное поле Введите правильные данные
    Обязательное поле Введите правильные данные

    Я соглашаюсь с условиями обработки персональныйх данных

    Вы не приняли условия обработки персональныйх данных.

    Вы можете ознакомится с условиями обработки персональныйх данных, принять их и продолжить регистрацию на нашем сайте.

    Вы успешно зарегистрированны.

    На Ваш электронный адрес была выслана ссылка для подтверждения электронной почты.

    Пройдите по ссылке для окончания регистрации.

Восстановление пароля

Обязательное поле Введите правильные данные

На номер телефона UserPhone выслан новый пароль для входа в личный кабинет.