Заказать звонок Меню

Улыбки, которые мы преобразили

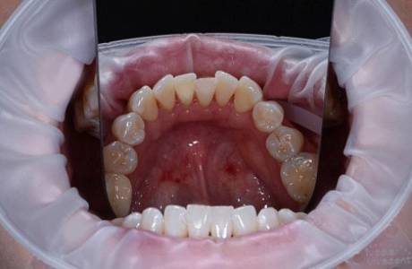
До лечения

Налет и зубной камень на нижней челюсти

После лечения

Пациенту проведена комплексная гигиена полости рта на аппарате Air Flow, сняты налет и зубные отложения (зубной камень), проведена реминерализующая обработка.

Заказ обратного звонка
Отправьте номер телефона и доктор свяжется с Вами
Обязательное поле Введите правильные данные

Спасибо Ваша заявка принята.

В ближайшее время мы Вам перезвоним.

Записаться
Отправьте номер телефона и доктор свяжется с Вами
Обязательное поле Введите правильные данные

Спасибо Ваша заявка принята.

Врач посмотрит и Вы получите план лечения со сроками и стоимостью. Если устроит, сможете начать лечение.

Задать вопрос
Оставьте вопрос и доктор свяжется с Вами
Обязательное поле Введите правильные данные
Обязательное поле

Спасибо Ваша заявка принята.

Врач посмотрит и Вы получите план лечения со сроками и стоимостью. Если устроит, сможете начать лечение.

Заказ обратного звонка
Отправьте номер телефона и доктор свяжется с Вами
Обязательное поле Введите правильные данные

Спасибо Ваша заявка принята.

В ближайшее время мы Вам перезвоним.

Задать вопрос
Оставьте вопрос и доктор свяжется с Вами
Обязательное поле Введите правильные данные
Обязательное поле

Спасибо Ваша заявка принята.

Врач посмотрит и Вы получите план лечения со сроками и стоимостью. Если устроит, сможете начать лечение.

Спасибо Ваша заявка принята.

Врач посмотрит и вы получите план лечения со сроками и стоимостью. Если устроит, сможете сразу начать лечение.

  • Обязательное поле Введите правильные данные
    Обязательное поле Введите правильные данные
  • Обязательное поле Введите правильные данные
    Обязательное поле Введите правильные данные
    Обязательное поле Введите правильные данные
    Обязательное поле Введите правильные данные
    Обязательное поле Введите правильные данные
    Обязательное поле Введите правильные данные

    Я соглашаюсь с условиями обработки персональныйх данных

    Вы не приняли условия обработки персональныйх данных.

    Вы можете ознакомится с условиями обработки персональныйх данных, принять их и продолжить регистрацию на нашем сайте.

    Вы успешно зарегистрированны.

    На Ваш электронный адрес была выслана ссылка для подтверждения электронной почты.

    Пройдите по ссылке для окончания регистрации.

Восстановление пароля

Обязательное поле Введите правильные данные

На номер телефона UserPhone выслан новый пароль для входа в личный кабинет.