Заказать звонок Меню

Улыбки, которые мы преобразили

До лечения

Пациентка обратилась с жалобами на отсутствие зубов на верхней и нижней челюсти, снижение высоты нижнего отдела лица, невозможность носить съемные протезы. Принято решение об установке имплантов на обе челюсти с предварительными синус лифтингами и остеопластикой.

После лечения

По прошествии срока приживания имплантов были изготовлены металлокерамические коронки, основываясь на заданной форме и высоте временных коронок. Пациентка очень довольна результатом.

До лечения

Пациентка обратилась с жалобами на отсутствие жевательных зубов на нижней челюсти, неудовлетворительный внешний вид ранее изготовленных конструкции.

При остмотре также выявлено занижение высоты нижнего отдела лица и полное отсутствие прикуса, при том, что у пациентки изначально был патологический прикус с глубоким резцовым перекрытием.

Принято решение провести тотальную реабилитацию прикуса, восстановление эстетики и высоты нижнего отдела лица.

После лечения

На нижней челюсти установлены имланты. За время их приживления фронтальные зубы перелечены, восстановлены вкладками, на временных коронках зафиксирована нужная высота.

На все зубы были установлены коронки на основе диоксида циркония

До лечения

Пациент обратился с жалобой на разрушение зубов.

После лечения

На верхней челюсти было принято решение установить E-max коронки.На нижней челюсти E-max виниры. Пациент полностью доволен свой новой красивой улыбкой.

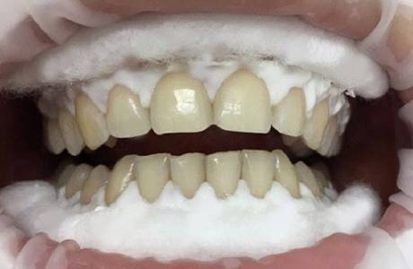
До лечения

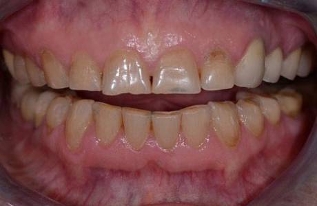
Пациент обратился с жалобой на неудовлетворительный цвет зубов.

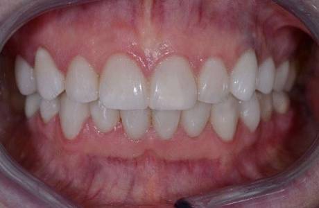
После лечения

Произведена процедура отбеливания Zoom4. Пациент доволен белоснежной улыбкой.

Оказано услуг на 20000

До лечения

Подросток 12 лет. Глубокий прикус, выраженный дефицит места для верхних клыков и премоляров внизу.Смещение средней линии зубов. Жалобы – «не прорезываются зубы»

После лечения

Прикус восстановлен, зубы выровнены.

До лечения

Пациентка обратилась к врачу с острой болью. После изучения прицельного снимка обнаружилась резорбция (разрушение) корня с двумя гранулемами (участками воспаленной ткани).

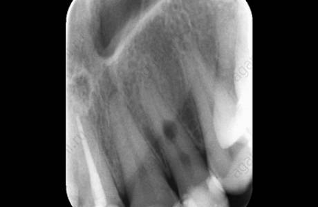
После лечения

Как правило, такие зубы идут на удаление. В данном случае врач решила сохранить зуб. Было проведено эндодонтическое лечение, которое закончилось через несколько недель. Зуб пациентки сохранен.

Заказ обратного звонка
Отправьте номер телефона и доктор свяжется с Вами
Обязательное поле Введите правильные данные

Спасибо Ваша заявка принята.

В ближайшее время мы Вам перезвоним.

Записаться
Отправьте номер телефона и доктор свяжется с Вами
Обязательное поле Введите правильные данные

Спасибо Ваша заявка принята.

Врач посмотрит и Вы получите план лечения со сроками и стоимостью. Если устроит, сможете начать лечение.

Задать вопрос
Оставьте вопрос и доктор свяжется с Вами
Обязательное поле Введите правильные данные
Обязательное поле

Спасибо Ваша заявка принята.

Врач посмотрит и Вы получите план лечения со сроками и стоимостью. Если устроит, сможете начать лечение.

Заказ обратного звонка
Отправьте номер телефона и доктор свяжется с Вами
Обязательное поле Введите правильные данные

Спасибо Ваша заявка принята.

В ближайшее время мы Вам перезвоним.

Задать вопрос
Оставьте вопрос и доктор свяжется с Вами
Обязательное поле Введите правильные данные
Обязательное поле

Спасибо Ваша заявка принята.

Врач посмотрит и Вы получите план лечения со сроками и стоимостью. Если устроит, сможете начать лечение.

Спасибо Ваша заявка принята.

Врач посмотрит и вы получите план лечения со сроками и стоимостью. Если устроит, сможете сразу начать лечение.

  • Обязательное поле Введите правильные данные
    Обязательное поле Введите правильные данные
  • Обязательное поле Введите правильные данные
    Обязательное поле Введите правильные данные
    Обязательное поле Введите правильные данные
    Обязательное поле Введите правильные данные
    Обязательное поле Введите правильные данные
    Обязательное поле Введите правильные данные

    Я соглашаюсь с условиями обработки персональныйх данных

    Вы не приняли условия обработки персональныйх данных.

    Вы можете ознакомится с условиями обработки персональныйх данных, принять их и продолжить регистрацию на нашем сайте.

    Вы успешно зарегистрированны.

    На Ваш электронный адрес была выслана ссылка для подтверждения электронной почты.

    Пройдите по ссылке для окончания регистрации.

Восстановление пароля

Обязательное поле Введите правильные данные

На номер телефона UserPhone выслан новый пароль для входа в личный кабинет.